Smile Gallery – Houston, TX
Real Patients, Real Smiles.
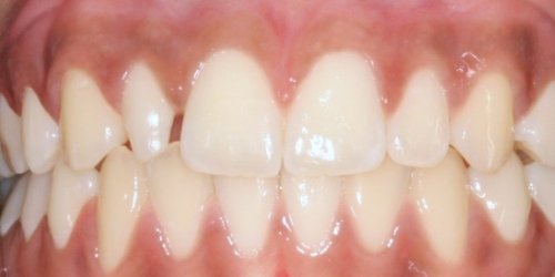
Our doctors stand behind their work at the practice as you can see in our smile gallery. Our goal is and always has been to help patients feel confident about their smile, no matter how many dental issues they may have. If you're feeling hesitant about pursuing a specific treatment (particularly one that is cosmetic in nature), you'll have far more confidence in your future care after reviewing our smile gallery below.
Services We Offer
                Cosmetic
                Veneers
            
        
                Dental
                Crowns
            
        
                Dental
                Bonding
            
        
                Smile
                Makeover
            
        Cosmetic Veneers
 Before
                Before
             After
                After
             Before
                Before
             After
                After
             Before
                Before
             After
                After
            Dental Crowns
 Before
                Before
             After
                After
             Before
                Before
             After
                After
             Before
                Before
             After
                After
            Dental Bonding
 Before
                Before
             After
                After
             Before
                Before
             After
                After
             Before
                Before
             After
                After
            Trauma Management
 Before
                Before
             After
                After
             Before
                Before
             After
                After
             Before
                Before
             After
                After
            